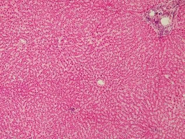
Universidade identifica gene associado ao câncer de fígado


Pesquisa desenvolvida pelo Liver Center da Universidade Federal de Minas Gerais (UFMG), em colaboração com o Yale Liver Center, dos Estados Unidos, abre caminho para ampliar a compreensão do processo de formação do carcinoma hepatocelular – tipo mais comum de câncer de fígado e segunda causa de morte entre os mais de 300 tipos de […]
Notícias online: em quem confiar?


A edição 2019 do Digital News Report, uma ampla pesquisa realizada desde 2012 pelo Reuters Institute, da Universidade de Oxford, traz algumas revelações muito importantes que podem ajudam a pensar o mundo das notícias online. A pesquisa foi realizada com mais de 75 mil consumidores de notícias online em 38 países. O relatório produzido este […]
Abertas inscrições para o Prémio Fundação Oriente


O Prémio “Fundação Oriente” destina-se a incentivar e dinamizar a pesquisa, e a investigação científica na História, Artes, Letras e Ciências ligadas ao Mar, e à presença portuguesa na Ásia Oriental. O referido prémio, é constituído por um diploma e por uma quantia pecuniária no valor de 5.000€ (cinco mil euros). Podem concorrer a este […]
Investigadores descobrem moléculas capazes de combater a leucemia


Um grupo formado por professores e alunos da Universidade Federal Fluminense (UFF), no Rio de Janeiro, em parceria com a Fundação Oswaldo Cruz (Fiocruz), está pesquisando três moléculas capazes de combater a leucemia, o mais comum câncer do sangue. Liderado pelos professores Fernando de Carvalho da Silva e Vitor Francisco Ferreira, do departamento de Química […]
